Videos (0)

This item doesn’t have any videos yet

Add New Video
RealWorld Radiology

Medical | Education

iOS

* Now compatible with iOS 8 *

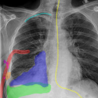
RealWorld Radiology is your ultimate guide to the basics of thoracic imaging. Learn to read chest X-rays in no time and discover the most frequent diagnoses through multiple fully annotated examples.

RealWorld Radiology currently features more than 70 real-world cases (with more coming for free every month!) each containing:
- High-resolution X-rays
- All appropriate series (posterioranterior, lateral, expiratory, etc.)
- Clinical information regarding the patient and mode of presentation
- Detailed radiologic interpretation
- Drawings of every radiological finding right on the X-ray

Our cases have been especially selected for their high pedagogical value and real-world representativeness. They can be classified either by diagnosis (e.g. pneumonia, atelectasis, pulmonary fibrosis) or by actual radiological finding (e.g. alveolar opacities, interstitial opacities, silhouette sign), making the learning of the differential diagnosis easier than ever while keeping each case easy to find for quick access.

Test your knowledge with the Quiz mode and check if what you see matches the radiologist's findings.

All in all, RealWorld Radiology is your ideal reference for example-based learning or quick on-the-spot study while waiting for your attending.



Published by Hyperexis
Developed by Hyperexis
Certificate 17+
Languages English, French
Compatibility iPhone, iPad, iPod

Images And Data Courtesy Of: Hyperexis.
This content (including text, images, videos and other media) is published and used in accordance with Fair Use.